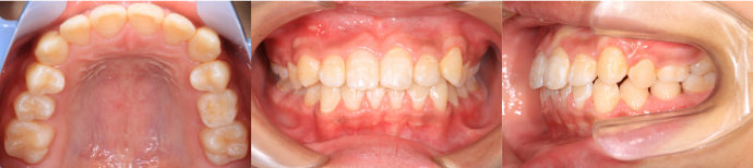
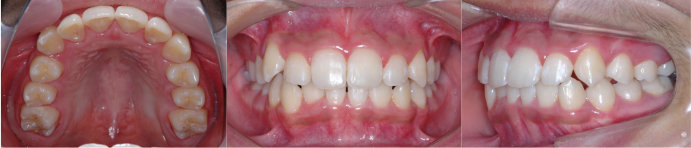
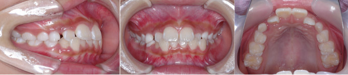
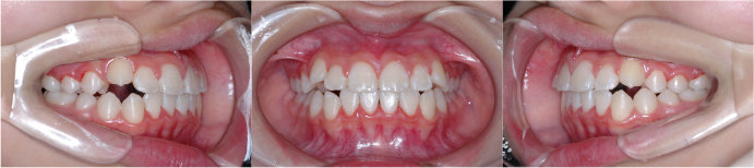
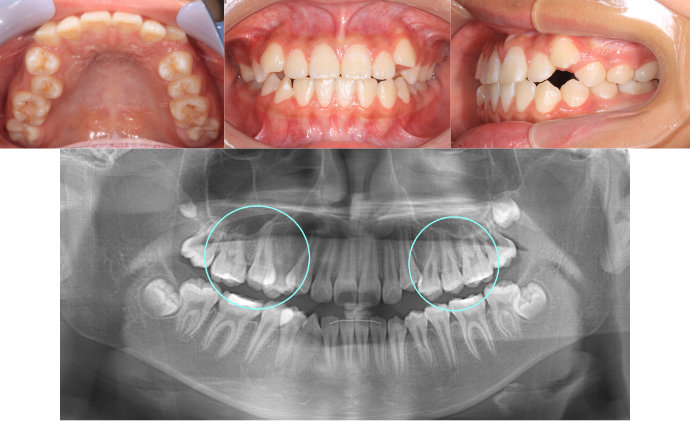
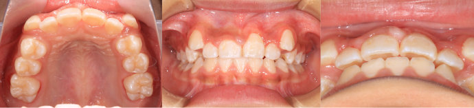
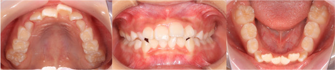
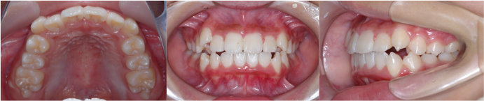
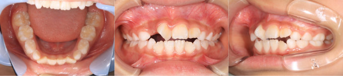
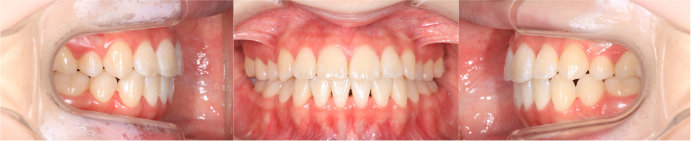
| Case1 |
| 出っ歯 |
| <治療前> |
|
 |
| <治療後> |
|
| 主訴 |
前歯が出ている |
| 診断名 |
上顎前突 |
| 年齢 |
8歳 |
| 使用装置 |
マルチブラケット装置 |
| 抜歯部位 |
永久歯の抜歯は無し |
| 治療期間 |
2年4か月 |
| 治療費概算 |
検査・診断料:5万円+税 装置・技術料:25万円+税 おおよそ1か月ごとの処置・管理料:5,000円+税 保定装置料:5万円+税 |
| リスク・副作用 |
う蝕 歯根吸収 |
|
| |
| |
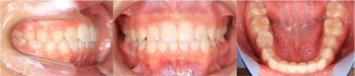
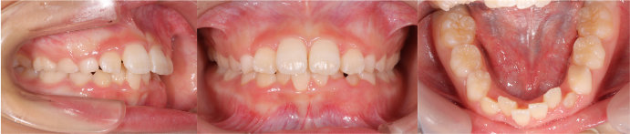
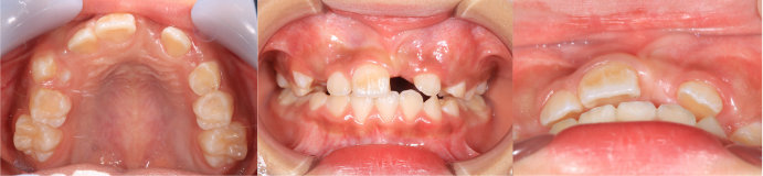
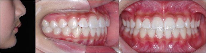
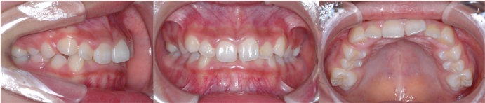
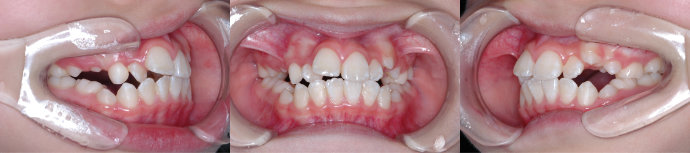
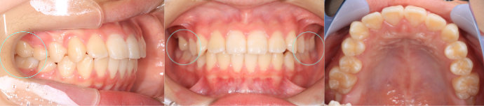
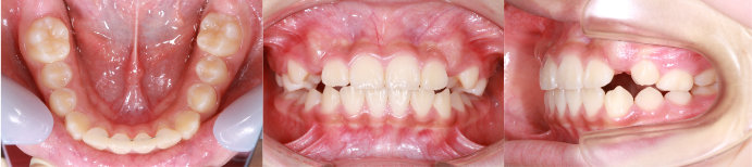
| Case2 |
| 出っ歯 |
| <治療前> |
|
 |
| <治療後> |
|
| 主訴 |
上の前歯が出ている |
| 診断名 |
上顎前突 |
| 年齢 |
8歳 |
| 使用装置 |
マルチブラケット装置/ヘッドギア |
| 抜歯部位 |
永久歯の抜歯は無し |
| 治療期間 |
3年6か月 |
| 治療費概算 |
検査・診断料:5万円+税 装置・技術料:25万円+税 来院ごとの処置・管理料:5,000円+税 保定装置料:5万円+税 |
| リスク・副作用 |
特になし |
|
| |
| |
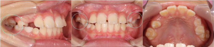
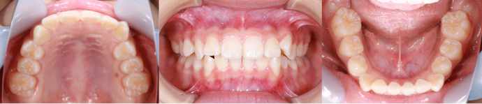
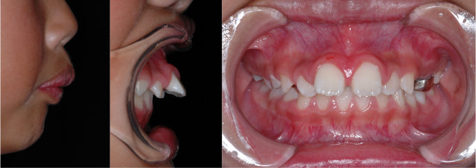
| Case3 |
| 受け口 |
| <治療前> |
|
 |
| <治療後> |
|
| 主訴 |
上の歯がねじれている |
| 診断名 |
叢生を伴う反対咬合 |
| 年齢 |
10歳 |
| 使用装置 |
マルチブラケット装置 |
| 抜歯部位 |
永久歯の抜歯は無し |
| 治療期間 |
3年6か月 |
| 治療費概算 |
検査・診断料:5万円+税 装置・技術料:25万円+税 おおよそ1か月ごとの処置・管理料:5,000円+税 保定装置料:5万円+税 |
| リスク・副作用 |
う蝕 |
|
| |
| |
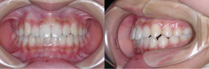
| Case4 |
| 前歯のガタガタ |
| <治療前> |
|
 |
| <治療後> |
|
| 主訴 |
上の前歯がガタガタしている |
| 診断名 |
上顎前歯の重度の叢生、下顎前歯の中程度の叢生 |
| 年齢 |
8歳 |
| 使用装置 |
マルチブラケット装置 |
| 抜歯部位 |
永久歯の抜歯は無し |
| 治療期間 |
3年9か月 |
| 治療費概算 |
検査・診断料:5万円+税 装置・技術料:25万円+税 おおよそ1か月ごとの処置・管理料:5,000円+税 保定装置料:5万円+税 |
| リスク・副作用 |
う蝕 |
|
| |
| |
| Case5 |
| 前歯のガタガタ |
| <治療前> |
|
 |
| <治療後> |
|
| 主訴 |
上下の前歯の乱れが気になる |
| 診断名 |
叢生 |
| 年齢 |
10歳 |
| 使用装置 |
マルチブラケット装置 |
| 抜歯部位 |
永久歯の抜歯は無し |
| 治療期間 |
2年6か月 |
| 治療費概算 |
検査・診断料:5万円+税 装置・技術料:25万円+税 おおよそ1か月ごとの処置・管理料:5,000円+税 保定装置料:5万円+税 |
| リスク・副作用 |
特になし |
|
| |
| |
| Case6 |
| 前歯のガタガタ |
| <治療前> |
|
 |
| <治療後> |
|
| 主訴 |
上下の前歯のガタガタが気になる |
| 診断名 |
叢生 |
| 年齢 |
8歳 |
| 使用装置 |
マルチブラケット装置 |
| 抜歯部位 |
永久歯の抜歯は無し |
| 治療期間 |
2年3か月 |
| 治療費概算 |
検査・診断料:5万円+税 装置・技術料:25万円+税 おおよそ1か月ごとの処置・管理料:5,000円+税 保定装置料:5万円+税 |
| リスク・副作用 |
特になし |
|
| |
| |
| Case7 |
| 前歯のガタガタ |
| <治療前> |
|
 |
| <治療後> |
|
| 主訴 |
右上の前歯がねじれている |
| 診断名 |
叢生 |
| 年齢 |
8歳 |
| 使用装置 |
マルチブラケット装置 |
| 抜歯部位 |
永久歯の抜歯は無し |
| 治療期間 |
2年1か月 |
| 治療費概算 |
検査・診断料:5万円+税 装置・技術料:25万円+税 おおよそ1か月ごとの処置・管理料:5,000円+税 保定装置料:5万円+税 |
| リスク・副作用 |
特になし |
|
| |
| |
Case8 |
| 前歯のガタガタ |
| <治療前> |
|
 |
| <治療後> |
|
| 主訴 |
下の前歯がガタガタしている |
| 診断名 |
叢生 |
| 年齢 |
11歳 |
| 使用装置 |
マルチブラケット装置 |
| 抜歯部位 |
永久歯の抜歯は無し |
| 治療期間 |
1年7か月 |
| 治療費概算 |
検査・診断料:5万円+税 装置・技術料:25万円+税 おおよそ1か月ごとの処置・管理料:5,000円+税 保定装置料:5万円+税 |
| リスク・副作用 |
特になし |
|
| |
| |
| Case9 |
| 前歯のガタガタ |
| <治療前> |
|
 |
| <治療後2年後/保定後> |
|
| 主訴 |
上の二番目の前歯が舌側にずれて噛んでいる |
| 診断名 |
側切歯部の反対咬合を伴う叢生 |
| 年齢 |
9歳 |
| 使用装置 |
マルチブラケット装置 |
| 抜歯部位 |
永久歯の抜歯は無し |
| 治療期間 |
2年7か月 |
| 治療費概算 |
検査・診断料:5万円+税 装置・技術料:25万円+税 おおよそ1か月ごとの処置・管理料:5,000円+税 保定装置料:5万円+税 |
| リスク・副作用 |
特になし |
|
| |
| |
| Case10 |
| すきっ歯 そして 左側の前歯が反対に咬んでいる |
| <治療前> |
|
 |
| <治療後> |
|
 |
| <治療後10か月後/保定中> |
|
| 主訴 |
前歯が気になる |
| 診断名 |
前歯部の空隙および反対咬合 |
| 年齢 |
8歳 |
| 使用装置 |
FKOおよびマルチブラケット装置 |
| 抜歯部位 |
永久歯の抜歯は無し |
| 治療期間 |
2年8か月 |
| 治療費概算 |
検査・診断料:5万円+税 装置・技術料:25万円+税 おおよそ1か月ごとの処置・管理料:5,000円+税 保定装置料:5万円+税 |
| リスク・副作用 |
う蝕 |
|
| |
| |
| Case11 |
| 受け口 および 右上の乳臼歯が早期に抜けたことにより、その後ろにある6歳臼歯が前方にずれている。そのため、6歳臼歯の直前にある永久歯が生える隙間がない。 |
| <治療前> |
|
 |
| <治療後> |
|
| 主訴 |
前歯が反対になっている |
| 診断名 |
上顎右側第二乳臼歯の早期喪失による上顎右側第一大臼歯の近心転位、それに伴う上顎右側第二小臼歯の萌出スペース不足を伴う反対咬合
|
| 年齢 |
10歳 |
| 使用装置 |
マルチブラケット装置 |
| 抜歯部位 |
永久歯の抜歯は無し |
| 治療期間 |
3年8か月 |
| 治療費概算 |
検査・診断料:5万円+税 装置・技術料:25万円+税 来院ごとの処置・管理料:5,000円+税 保定装置料:5万円+税 |
| リスク・副作用 |
特になし |
|
| |
| |
| Case12 |
| 上の左右の6歳臼歯が前方に傾き、前にある乳臼歯に食い込んでいる。そのため、6歳臼歯の直前にある永久歯が生える隙間が少ない。 |
| <治療前> |
|
 |
| <治療後> |
|
| 主訴 |
上の前歯の隙間が気になる |
| 診断名 |
上顎第一大臼歯の萌出不全および右側前歯部の反対咬合 |
| 年齢 |
7歳 |
| 使用装置 |
FKOおよびマルチブラケット装置 |
| 抜歯部位 |
永久歯の抜歯は無し |
| 治療期間 |
4年8か月 |
| 治療費概算 |
検査・診断料:5万円+税 装置・技術料:25万円+税 来院ごとの処置・管理料:5,000円+税 保定装置料:5万円+税 |
| リスク・副作用 |
う蝕 |
|
| |
Case13 |
| 左上の前歯が生えていない。左上の前歯が生える隙間が足りていない。 |
| <治療前> |
|
 |
| <治療後> |
|
| 主訴 |
左上の前歯が生えてこない |
| 診断名 |
上顎左側中切歯の晩期埋伏(下顎右側側切歯の先天欠損を伴う。) |
| 年齢 |
8歳 |
| 使用装置 |
マルチブラケット装置 / 開窓・牽引 |
| 抜歯部位 |
永久歯の抜歯は無し |
| 治療期間 |
1年9か月 |
| 治療費概算 |
検査・診断料:5万円+税 装置・技術料:25万円+税 来院ごとの処置・管理料:5,000円+税 保定装置料:5万円+税 |
| リスク・副作用 |
歯肉退縮 |
|
| |
| |
| Case14 |
| 右上の前歯が斜めに生えている。そして 右上の犬歯の生える方向が異常であり、埋まっていて生えてこない。 |
| <治療前> |
|
 |
| <治療後> |
|
| 主訴 |
上の前歯のガタガタが気になる |
| 診断名 |
上顎右側犬歯の埋伏を伴う上下顎前突 |
| 年齢 |
10歳 |
| 使用装置 |
マルチブラケット装置 / 開窓・牽引 |
| 抜歯部位 |
永久歯の抜歯は無し |
| 治療期間 |
3年2か月 |
| 治療費概算 |
検査・診断料:5万円+税 装置・技術料:25万円+税 来院ごとの処置・管理料:5,000円+税 保定装置料:5万円+税 |
| リスク・副作用 |
歯根吸収 |
|
| |
| |
| Case15 |
| 咬んだ時に下の前歯が見えない。 |
| <治療前> |
|
 |
| <治療後> |
|
| 主訴 |
前歯が内側に傾いている |
| 診断名 |
過蓋咬合 |
| 年齢 |
9歳 |
| 使用装置 |
マルチブラケット装置 |
| 抜歯部位 |
永久歯の抜歯は無し |
| 治療期間 |
2年4か月 |
| 治療費概算 |
検査・診断料:5万円+税 装置・技術料:25万円+税 来院ごとの処置・管理料:5,000円+税 保定装置料:5万円+税 |
| リスク・副作用 |
歯根吸収 |
|
| |
| |
| Case16 |
| 上の6歳臼歯と下の6歳臼歯がすれちがっていて咬み合っていない。 |
| <治療前> |
|
 |
| <治療後> |
|
| 主訴 |
上の奥歯が外側に傾いている 前歯の隙間が気になる |
| 診断名 |
上顎右側第一大臼歯の近心転位および上顎左右側第一大臼歯の頬側傾斜を伴うはさみ状咬合 |
| 年齢 |
10歳 |
| 使用装置 |
マルチブラケット装置 |
| 抜歯部位 |
永久歯の抜歯は無し |
| 治療期間 |
2年8か月 |
| 治療費概算 |
検査・診断料:5万円+税 装置・技術料:25万円+税 おおよそ1か月ごとの処置・管理料:5,000円+税 保定装置料:5万円+税 |
| リスク・副作用 |
特になし |
|
| |
| |
| Case17(混合歯列期/1期治療 〜 永久歯列期/2期治療まで) |
| 前歯のガタガタ |
| <治療前> |
|
 |
| <1期治療後> |
|
 |
| <2期治療後> |
|
| 主訴 |
上と下の前歯のガタガタが気になる |
| 診断名 |
1期治療開始時:側切歯部の反対咬合を伴う叢生 2期治療開始時:下顎左側第二大臼歯の近心傾斜および下顎右側第二大臼歯の舌側傾斜を伴う叢生 |
| 年齢 |
1期治療開始時:9歳 2期治療開始時:14歳 |
| 使用装置 |
マルチブラケット装置 |
| 抜歯部位 |
1期治療:永久歯の抜歯は無し 2期治療:上顎左右側第一小臼歯および下顎左右側第二小臼歯 |
| 治療期間 |
1期治療:2年1か月 2期治療:3年11か月 |
| 治療費概算 |
1期治療: 検査・診断料:5万円+税 装置・技術料:25万円+税 おおよそ1か月ごとの処置・管理料:5,000円+税 保定装置料:5万円+税
2期治療: 検査・診断料:2万5千円+税 装置・技術料:30万円+税 おおよそ1か月ごとの処置・管理料:5,000円+税 保定装置料:2万5千円+税 歯科矯正用アンカースクリュー料:1万円+税/1本 |
| リスク・副作用 |
特になし |
|
| |